File list
This special page shows all uploaded files.
| Date | Name | Thumbnail | Size | User | Description | Versions |
|---|---|---|---|---|---|---|
| 02:15, 21 August 2013 | IPLab7Osteosarcoma12.jpg (file) | 79 KB | Seung Park | This high-power photomicrograph of the tumor demonstrates the fusiform morphology of the cells. Note the marked variability in size and staining intensity of the nuclei. | 1 | |
| 02:16, 21 August 2013 | IPLab7Osteosarcoma13.jpg (file) | 83 KB | Seung Park | This is a high-power photomicrograph of the tumor demonstrating the anaplastic cell morphology. | 1 | |
| 02:16, 21 August 2013 | IPLab7Osteosarcoma14.jpg (file) | 78 KB | Seung Park | This is a high-power photomicrograph of the tumor demonstrating the anaplastic cell morphology. | 1 | |
| 02:16, 21 August 2013 | IPLab7Osteosarcoma15.jpg (file) | 85 KB | Seung Park | This is a high-power photomicrograph of the tumor demonstrating the anaplastic cell morphology and multiple mitotic figures (arrows). | 1 | |
| 02:28, 21 August 2013 | IPLab8HSVGlossitis1.jpg (file) | 38 KB | Seung Park | This is a low-power photomicrograph showing a cross section of the tongue. There is an area along the surface of the tongue where the normal epithelium has been lost and there are areas of ulceration (arrows). | 1 | |
| 02:28, 21 August 2013 | IPLab8HSVGlossitis2.jpg (file) | 90 KB | Seung Park | This higher-power photomicrograph shows the epithelium (1), the edge of the ulcer (2), and the ulcerated epithelium (3). There is an inflammatory exudate at the base of the ulcer and some necrotic cells where the epithelium once was present. | 1 | |
| 02:29, 21 August 2013 | IPLab8HSVGlossitis3.jpg (file) | 75 KB | Seung Park | This is a medium-power photomicrograph of epithelium at the edge of the ulcer. Even at this power, amphophilic (dark, blue-purple-staining) intranuclear inclusion bodies can be seen in the epithelial cells. Note the inflammatory infiltrate in the subep... | 1 | |
| 02:29, 21 August 2013 | IPLab8HSVGlossitis4.jpg (file) | 72 KB | Seung Park | This is a higher-power photomicrograph of epithelium at the edge of the ulcer. Amphophilic intranuclear inclusion bodies can be seen in almost all of the epithelial cells in this section. | 1 | |
| 02:29, 21 August 2013 | IPLab8HSVGlossitis5.jpg (file) | 70 KB | Seung Park | This is a high-power photomicrograph of epithelium near the edge of the ulcer. The cells that have been invaded by the herpes virus contain intranuclear accumulations of amphophilic viral inclusions (arrows). | 1 | |
| 02:34, 21 August 2013 | IPLab8HSVEncephalitis1.jpg (file) | 32 KB | Seung Park | This is a gross photograph of a section of brain showing multiple small, punctate hemorrhages throughout the brain parenchyma (arrows). | 1 | |
| 02:34, 21 August 2013 | IPLab8HSVEncephalitis2.jpg (file) | 36 KB | Seung Park | This is a closer view of the previous section of brain showing multiple small, punctate hemorrhages throughout the brain parenchyma (arrows). | 1 | |
| 02:34, 21 August 2013 | IPLab8HSVEncephalitis3.jpg (file) | 41 KB | Seung Park | This is a low-power photomicrograph showing a section of brain with numerous perivascular hemorrhages (arrows) and some areas that appear hypercellular. | 1 | |
| 02:35, 21 August 2013 | IPLab8HSVEncephalitis4.jpg (file) | 58 KB | Seung Park | This is a medium-power photomicrograph showing a blood vessel with perivascular hemorrhage (1), areas with loss of brain parenchyma, and edema (2). Even at this power, it can be seen that many of the cells are shrunken and dark red, suggesting that the... | 1 | |
| 02:35, 21 August 2013 | IPLab8HSVEncephalitis5.jpg (file) | 62 KB | Seung Park | This is a high-power photomicrograph of the previous section. At this power it is easier to see the blood vessel with the perivascular hemorrhage and mild perivascular lymphocytic cuffing (1). In addition, the areas of edema and loss of neurophil (2) c... | 1 | |
| 02:35, 21 August 2013 | IPLab8HSVEncephalitis6.jpg (file) | 67 KB | Seung Park | This is another high-power photomicrograph showing a blood vessel with perivascular hemorrhage and mild perivascular lymphocytic cuffing (arrow). In addition, there are numerous red shrunken neurons and glia with pyknotic nuclei throughout this section. | 1 | |
| 02:36, 21 August 2013 | IPLab8HSVEncephalitis7.jpg (file) | 55 KB | Seung Park | This is a high-power photomicrograph demonstrating clear areas, which indicate edema, and numerous shrunken red necrotic cells (1). At this power, it can be seen that eosinophilic intranuclear inclusion bodies have displaced chromatin to the periphery ... | 1 | |
| 02:36, 21 August 2013 | IPLab8HSVEncephalitis8.jpg (file) | 55 KB | Seung Park | This is a high-power photomicrograph showing several necrotic cells (arrows). | 1 | |
| 02:36, 21 August 2013 | IPLab8HSVEncephalitis9.jpg (file) | 78 KB | Seung Park | This is a high-power photomicrograph demonstrating cells containing intranuclear inclusion bodies (arrows). | 1 | |
| 02:37, 21 August 2013 | IPLab8HSVEncephalitis10.jpg (file) | 40 KB | Seung Park | This is another high-power photomicrograph of a cell containing an intranuclear inclusion body (arrow). Note that the nuclear chromatin has been pushed to the outer edges of the nucleus. | 1 | |
| 02:37, 21 August 2013 | IPLab8HSVEncephalitis11.jpg (file) | 27 KB | Seung Park | This is another high-power photomicrograph of a cell containing an intranuclear inclusion body (arrow). | 1 | |
| 02:37, 21 August 2013 | IPLab8HSVEncephalitis12.jpg (file) | 36 KB | Seung Park | This is a photomicrograph of a brain section stained with an antibody against herpes simplex. Even at this magnification, it is easy to pick out cells that are positive for the virus (arrows). | 1 | |
| 02:39, 21 August 2013 | IPLab8Rabies1.jpg (file) | 25 KB | Seung Park | This is a low-power photomicrograph of the hippocampus (arrow) from this case. | 1 | |
| 02:40, 21 August 2013 | IPLab8Rabies2.jpg (file) | 52 KB | Seung Park | This is a medium-power photomicrograph of brain tissue exhibiting edema and evidence of shrunken, necrotic neurons (arrows). | 1 | |
| 02:40, 21 August 2013 | IPLab8Rabies3.jpg (file) | 49 KB | Seung Park | This is a higher-power photomicrograph of the shrunken neurons. One neuron appears to have an eosinophilic intracytoplasmic inclusion body (arrow). | 1 | |
| 02:40, 21 August 2013 | IPLab8Rabies4.jpg (file) | 44 KB | Seung Park | This is a high-power photomicrograph of neurons containing variably-sized intracytoplasmic eosinophilic inclusion bodies (arrows). | 1 | |
| 02:41, 21 August 2013 | IPLab8Rabies5.jpg (file) | 41 KB | Seung Park | This is a high-power photomicrograph of a neuron surrounded by inflammatory cells (lymphocytes and microglia). This neuron has two intracytoplasmic eosinophilic inclusion bodies (arrows). | 1 | |
| 02:43, 21 August 2013 | IPLab8Polio1.jpg (file) | 3 KB | Seung Park | This is a low-power photomicrograph of a section of spinal cord from this case. Note that the anterior horns (arrows) are almost completely devoid of neurons. | 1 | |
| 02:43, 21 August 2013 | IPLab8Polio2.jpg (file) | 46 KB | Seung Park | This is a higher-power photomicrograph of spinal cord from this case. Note the absence of motor neurons in the anterior horns and the gliosis (arrows). | 1 | |
| 02:43, 21 August 2013 | IPLab8Polio3.jpg (file) | 93 KB | Seung Park | This is a high-power photomicrograph of the anterior horn of the spinal cord from this case. Note the absence of motor neurons and the diffuse gliosis. | 1 | |
| 02:44, 21 August 2013 | IPLab8Polio4.jpg (file) | 77 KB | Seung Park | This is a higher-power photomicrograph taken at the junction of the white and gray matter. Note the inflammatory cellular infiltrate and tissue breakdown. There is significant loss of neurons and myelin in this area. | 1 | |
| 02:44, 21 August 2013 | IPLab8Polio5.jpg (file) | 82 KB | Seung Park | This is another high-power photomicrograph of the anterior horn with inflammatory cell infiltrate and total loss of neurons. | 1 | |
| 02:47, 21 August 2013 | IPLab8HBV1.jpg (file) | 22 KB | Seung Park | This is a low-power photomicrograph of liver from this case. This section was stained with a modified aldehyde fuchsin and counterstained with hematoxylin and eosin. Modified aldehyde fuchsin colors cystine-rich proteins--such as HBsAg and elastic fibe... | 1 | |
| 02:47, 21 August 2013 | IPLab8HBV2.jpg (file) | 82 KB | Seung Park | This is a higher-power photomicrograph of liver from this case. Note the severe congestion (RBCs in sinusoids) and the presence of occasional hepatocytes with dark red/magenta-stained cytoplasm (arrows). | 1 | |
| 02:48, 21 August 2013 | IPLab8HBV3.jpg (file) | 85 KB | Seung Park | This is a higher-power photomicrograph of the periportal region exhibiting some inflammation and bile duct hyperplasia. There is also congestion and some loss of hepatocytes with disruption of the hepatic cords. | 1 | |
| 02:48, 21 August 2013 | IPLab8HBV4.jpg (file) | 78 KB | Seung Park | This is a high-power photomicrograph of liver with numerous hepatocytes containing accumulations of magenta-staining material in the cytoplasm (arrows). | 1 | |
| 02:48, 21 August 2013 | IPLab8HBV5.jpg (file) | 69 KB | Seung Park | This high-power photomicrograph showing hepatocytes, the cytoplasm of which contain intracytoplasmic accumulations (arrows) of hepatitis B surface antigen. | 1 | |
| 02:49, 21 August 2013 | IPLab8HBV6.jpg (file) | 70 KB | Seung Park | This is a photomicrograph of a liver section from another case of hepatitis B. In this H&E-stained section, the typical "ground glass" appearance of the hepatocytes can be appreciated (arrows). | 1 | |
| 02:49, 21 August 2013 | IPLab8HBV7.jpg (file) | 23 KB | Seung Park | This is a low-power photomicrograph of liver from the previous image which has been reacted with antibody specific for HBsAg. The hepatocytes that contain HBsAg stain brown. | 1 | |
| 02:49, 21 August 2013 | IPLab8HBV8.jpg (file) | 37 KB | Seung Park | This higher-power photomicrograph of the previous section shows more clearly the HBsAg positive cells (arrows). Upon staining with H&E, these same cells exhibit a "ground glass" appearance, which is due to the accumulation of HBsAg in the hepatocyte cy... | 1 | |
| 02:50, 21 August 2013 | IPLab8HBV9.jpg (file) | 51 KB | Seung Park | This is a low-power photomicrograph of the same liver reacted with antibody specific for hepatitis B core antigen (HBcAg). The hepatocytes that contain HBcAg stain brown. Note that even at this low magnification, many brown-staining nuclei can be seen. | 1 | |
| 02:50, 21 August 2013 | IPLab8HBV10.jpg (file) | 35 KB | Seung Park | This high-power photomicrograph of the previous section shows the HBcAg positive nuclei (arrows). | 1 | |
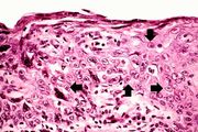
| 03:42, 21 August 2013 | IPLab9RMSF1.jpg (file) | 46 KB | Seung Park | This is a low-power photomicrograph of the skin biopsy. Note areas of hemorrhage (arrow) in the dermis. | 1 | |
| 03:42, 21 August 2013 | IPLab9RMSF2.jpg (file) | 51 KB | Seung Park | This is a higher-power photomicrograph demonstrating areas of hemorrhage immediately underneath the epidermis. Also note the cellularity and thrombosis of the small vessels in the dermis (arrow). | 1 | |
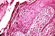
| 03:42, 21 August 2013 | IPLab9RMSF3.jpg (file) | 52 KB | Seung Park | This is a photomicrograph of a small vessel in the dermis which is demonstrating mild vasculitis. | 1 | |
| 03:42, 21 August 2013 | IPLab9RMSF4.jpg (file) | 47 KB | Seung Park | This is a higher-power photomicrograph of a dermal vessel with mild vasculitis. | 1 | |
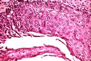
| 03:42, 21 August 2013 | IPLab9RMSF5.jpg (file) | 70 KB | Seung Park | This is a photomicrograph of dermis with an area of more severe vasculitis (arrow). | 1 | |
| 03:43, 21 August 2013 | IPLab9RMSF6.jpg (file) | 57 KB | Seung Park | This is a high-power photomicrograph of severe vasculitis in the dermis. | 1 | |
| 03:43, 21 August 2013 | IPLab9RMSF7.jpg (file) | 60 KB | Seung Park | This is a high-power photomicrograph of a dermal vessel (arrow) which is exhibiting vasculitis and thrombosis. | 1 | |
| 03:43, 21 August 2013 | IPLab9RMSF8.jpg (file) | 49 KB | Seung Park | This is a high-power photomicrograph of a thrombosed vessel in the dermis. Note that the endothelial cells are missing along part of the circumference of the vessel (arrows)--this is where the main part of the thrombus has attached. Also note the infla... | 1 | |
| 03:46, 21 August 2013 | IPLab9BacterialMeningitis1.jpg (file) | 44 KB | Seung Park | This gross photograph of the autopsy specimen from this case demonstrates the purulent exudate (arrows) in the leptomeninges. | 1 |